哪些症状表明可能是牙周病来犯
牙周病的出现对我们的口腔有着很大的危害,给患者的生活也造成了不小的影响,因此针对牙周病这种发病率较高的口腔疾病,大家一定要引起足够的重视。一般像牙周病出现时会有一些比较明显的症状,大家可以通过这些症状来检测自己是否被牙周病缠身,争取做到早发现早治疗。
哪些症状表明可能是牙周病来犯?

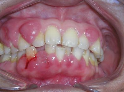
1、轻微的牙龈出血是早期牙龈炎的指征,刷牙时刷毛上有血迹,咬食物时食物上有血迹,说明有牙龈炎。
2、照镜子如果发现有牙龈红肿,一碰就出血的情况,说明可能也有牙龈炎。
3、牙齿有不同程度的松动,牙缝变大,牙根暴露或牙龈红肿、有脓,说明已发展到牙周炎。
4、张嘴说话总是散发难闻的气味,像这种有口臭的情况说明可能有牙周炎。
牙周病出现后采取怎么的治疗方案?
第一阶段为基础治疗,控制炎症;第二阶段为牙周手术治疗和松动牙固定;第三记得为永久性修复治疗;第四阶段为复查治疗阶段,每半年一次。
【温馨提示】如果对于看牙相关的问题还有疑问,可以在线客服进行一对一的交流,同时通过网上预约挂号,可享受免挂号费、全口检查费、到院优先就诊服务。